Colombiano Ucciso da un Verme: Tenia Trasmette Cancro, Primo Caso al Mondo
Da Redazione
Novembre 07, 2015

Un colombiano 41enne ha perso la vita a causa di un verme. Ebbene sì, si può anche morire per i vermi. Nel caso in questione, il verme era malato di cancro. Non era mai accaduto un episodio del genere al mondo
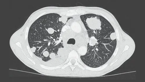
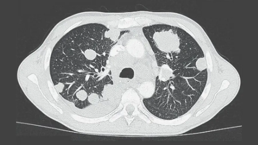
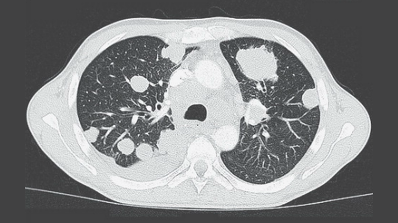
La vicenda è stata resa nota dai Centri americani per il controllo delle malattie e dal Museo di Storia naturale del Regno Unito. Il 41enne aveva l’Aids ed il virus ha avuto modo di svilupparsi sfruttando il suo sistema immunitario vulnerabile. I medici, dopo aver esaminato l’uomo, hanno scoperto che i tumori che si erano formati in diversi organi, come fegato e polmoni, non erano normali. Le cellule malate erano alquanto piccole. I medici, insomma, si sono insospettiti e, dopo aver effettuato diversi test, hanno accertato eccessivi livelli del Dna di tumori di tenia, ovvero il parassita che ha attaccato il 41enne e lo ha fatto morire.
Lo studioso Atis Muhelenbachs, operativo presso i Centri americani per il controllo delle malattie, ha asserito: “E’ il caso più insolito che ci ha fatto trascorrere molte notti insonni”. Il paziente colombiano è venuto a mancare dopo 3 giorni dalla scoperta del Dna della tenia.
La comunità scientifica internazionale è rimasta sconcertata dal caso. Mai, finora, è morto per un verme malato di tumore. Una tenia solitaria, in sostanza, ha trasmesso a un uomo le sue cellule cancerose. La morte del 41enne colombiano è stata dovuta al notevole abbassamento delle difese immunitarie, dovuto all’Hiv con cui l’uomo combatteva da circa 7 anni, e allo sviluppo della tenia nel suo intestino.
I medici che hanno esaminato il 41enne colombiano hanno riferito che le cellule malate presenti nell’organismo erano 10 volte più piccole di quelle cancerogene umane. Il paziente sudamericano è morto dopo 3 giorni dalla diagnosi ma i medici hanno continuato a studiare il misterioso ed inquietante caso.
Articolo precedente
Alain Delon Compie 80 Anni: Mito del Cinema, Infanzia Difficile
Articolo successivo
Nasce ‘Cosa Rossa’, Vendola: “Lanciamo Sfida al Governo Renzi”
Redazione
Articoli correlati

Capodanno in crociera: brindare al nuovo anno tra le onde
Settembre 15, 2025

I migliori lavori da fare da casa nel 2025
Giugno 24, 2025

Come trascorrono il tempo libero gli italiani
Aprile 29, 2025