Sindrome di Pica: trovate 2mila monete nello stomaco
Da Redazione
Ottobre 08, 2018

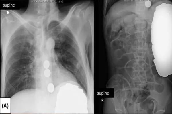
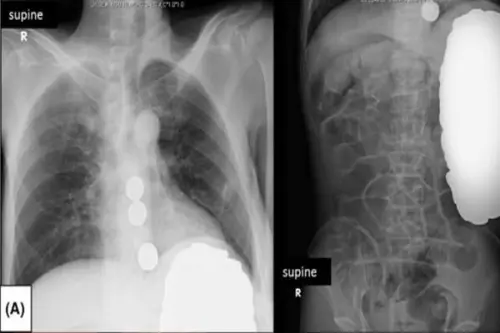
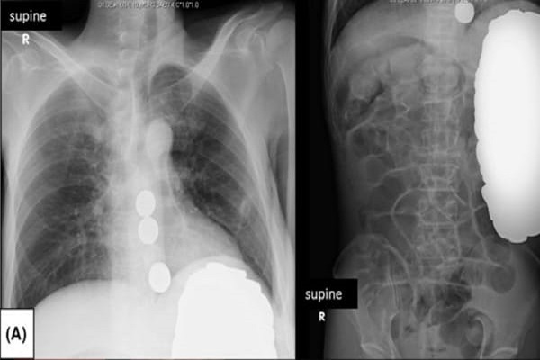
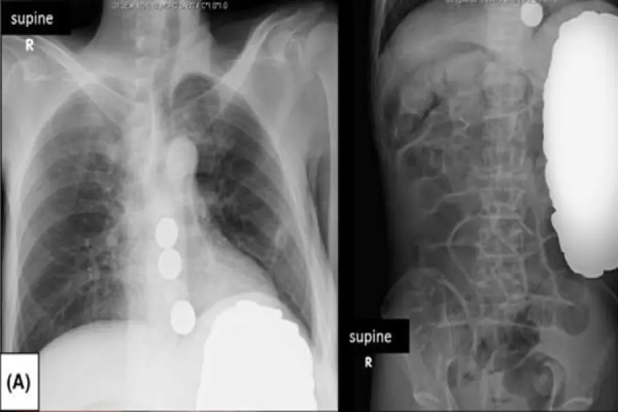
Un paziente giapponese di 51 anni, affetto da sindrome di Pica, negli ultimi due anni ha ingerito circa 2000 monetine. La Pica è un disturbo del comportamento alimentare.
Monete nell’intestino
L’uomo giapponese si è presentato al centro medico di Tokyo, presentava fatica cronica e aveva l’addome teso e dolorante. I medici lo hanno sottoposto ad una radiografia che ha rilevato la presenza di corpi estranei. Immediatamente è stato trasferito in un centro chirurgico dove i chirurghi hanno trovato un piccolo buco di circa 5 mm di diametro, dal quale sono riusciti ad asportare circa 2mila monetine.
Il quantitativo di monete estratte era enorme e per fortuna l’uomo non è stato intossicato dalla presenza degli oggetti di metallo. Dopo l’operazione, il paziente è stato trasferito presso un centro psichiatrico. Secondo quanto riferito dai media locali in passato ha sofferto di depressione ed è affetto da schizofrenia. Sono stati registrati almeno 6 casi di sindrome di Pica, ma questa è la prima volta in assoluto che viene accertata la perforazione gastrica. In passato un paziente indiano aveva ingerito 7 kg di metallo, un americano 600 monete, quello del 51enne giapponese è un vero e proprio record.
Malattia di Pica
La Pica è inquadrato come un disturbo dell’alimentazione e della nutrizione che consiste nell’ingerire sostanze non commestibili (anche gesso, talco, carta, eccetera). Per la diagnosi di Pica il periodo di tempo deve essere di almeno un mese e la sostanza non alimentare non deve riguardare bambini di uno o due anni che mettono tutto in bocca, oppure tradizioni culturali di una popolazione. L’incidenza della malattia di Pica è ancora oggetto di studi anche se sorge nell’infanzia e meno nell’età adulta, in soggetti con altri ritardi mentali, patologie psichiatriche (autismo, schizofrenia). Spesso la diagnosi viene emessa solo in contesti di emergenza.
Articolo precedente
Miopia cause: tecnologia danneggia la vista dei giovani
Articolo successivo
Scott Wilson: morto l’attore di The Walking Dead
Redazione
Articoli correlati

Capodanno in crociera: brindare al nuovo anno tra le onde
Settembre 15, 2025

I migliori lavori da fare da casa nel 2025
Giugno 24, 2025

Come trascorrono il tempo libero gli italiani
Aprile 29, 2025